tchncs
  • Communities
  • Create Post
  • Create Community
  • heart
    Support Lemmy
  • search
    Search
  • Login
  • Sign Up
letraset@feddit.dk to Forskning og Videnskab@feddit.dk · 1 year ago

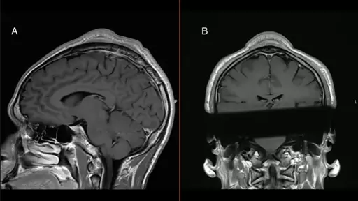
Dansk breakdancer udvikler kranietumor efter for mange års headspins

videnskab.dk

external-link
message-square
2
link
fedilink
7
external-link

Dansk breakdancer udvikler kranietumor efter for mange års headspins

videnskab.dk

letraset@feddit.dk to Forskning og Videnskab@feddit.dk · 1 year ago
message-square
2
link
fedilink
Alt fra brækkede knogler og forstuvede eller overanstrengte led, til skulder- og nakkeproblemer eller skaldede pletter på hovedet.
alert-triangle
You must log in or # to comment.
  • Underbroen@feddit.dk
    link
    fedilink
    arrow-up
    4
    ·
    1 year ago

    Av! Jeg er glad for at mine evner ikke rakte længere end til running man.

  • pomfritten@feddit.dk
    link
    fedilink
    arrow-up
    3
    arrow-down
    1
    ·
    1 year ago

    Så - æh - you did this to yourself?

Forskning og Videnskab@feddit.dk

forskning_videnskab@feddit.dk

Subscribe from Remote Instance

Create a post
You are not logged in. However you can subscribe from another Fediverse account, for example Lemmy or Mastodon. To do this, paste the following into the search field of your instance: !forskning_videnskab@feddit.dk

Dansk

Dette fællesskab er dedikeret til formidling og diskussion af primært dansk forskning og videnskab, eller forskning som har interesse for danskere eller Danmark i al almindelighed.

Der må postes på alle nordiske sprog, alle rigsfællesskabets sprog, samt på engelsk.


English

This community is dedicated to the dissemination and discussion of primarily Danish research and science, or research that is of interest to Danes or Denmark in general.

Posts may be made in all Nordic languages, all the languages of the Danish Realm, as well as in English.

Visibility: Public
globe

This community can be federated to other instances and be posted/commented in by their users.

  • 1 user / day
  • 1 user / week
  • 1 user / month
  • 7 users / 6 months
  • 1 local subscriber
  • 100 subscribers
  • 89 Posts
  • 211 Comments
  • Modlog
  • mods:
  • EvilCartyen@feddit.dk
  • BE: 0.19.15
  • Modlog
  • Legal
  • Instances
  • Docs
  • Code
  • join-lemmy.org